Aller au contenu

DNA-NUA Rosalind Franklin x DEL Prince Caspian X, 15 fruits de mer pirates du 27/10/2020


Messages recommandés

Posté

  

Bon, maman Rosalind est partie malheureusement. L'AVC était quand même sévère, et elle a fait un arrêt cardiorespiratoire hier. On aura essayé. :(

 

J'en profite pour refaire un petit tour des suivis, les loulous ayant 13 mois, toutes les infos sont données en temps réel sur la conversation commune entre les adoptants de la portée, mais les forums restent la meilleure façon d'avoir des traces un peu plus pérennes :)

 

Je vous propose une petite trame pour ne rien oublier ! Bon c'est surtout pour « inspiration » !

Citation

Nom du rat :
Problèmes de santé mineurs ou majeurs rencontrés : préciser date d'apparition / fin des symptômes, le type de traitement, etc.
Problèmes respiratoires rencontrés ? : idem que précédemment
Poids :
Caractère avec l'humain :
Caractère avec les autres rats :
Place dans la hiérarchie :
"Niveau hormonal" : Aspect des chaleurs ? Poil gras ? Tendu ?

 

 

  • Tristesse 6
Posté

- 13 mois -

 

Nom du rat : Shabu-Shabu, ex Crépidule Crochet !
Problèmes de santé mineurs ou majeurs rencontrés : RAS
Problèmes respiratoires rencontrés ? : Traitée aux nébulisations de gentamicine sulfate, puis de tylosine, pour une rhinite à caractère épidémique ayant touché toute la troupe. Shabu n'a néanmoins développé aucun symptôme de rhinite et a eu le traitement à titre prophylactique.
Poids : 330g
Caractère avec l'humain : Une loupiote d'amour ! Shabu c'est vraiment une petite mignonne parfaite, ultra équilibrée, toujours de bonne humeur. Tantôt joueuse, tantôt à la sieste. C'est un joyeux mix entre la mémère précoce et l'éternelle raton xD Elle est ultra manipulable, bisouilleuse à ses heures et elle aime fort les humains.
Caractère avec les autres rats : Adorable aussi ! Pas une vague, elle aime tout le monde équitablement, avec une petite préférence pour sa petite nièce qui est sa compagne de jeu.
Place dans la hiérarchie : Difficile à dire vu la hiérarchie peu marquée, mais on peut considérer qu'elle est au milieu. Elle et son frère se retournent de temps en temps, mais plus par jeu qu'autre chose.
"Niveau hormonal" : RAS au niveau des chaleurs (parfois remarquables, parfois pas). Joli poil, pas tendue ni stressée, rien à dire ! Bonne fertilité aussi (one-shot avec Sorhen, mise bas sans soucis) et superbe maman, une des meilleures que j'ai eues.

 

 

Nom du rat : Kobayashi Maru, ex Calmar Kidd
Problèmes de santé mineurs ou majeurs rencontrés : Castré pour intégration à une troupe mixte à environ 2 mois. Petite rhinite épidémiqué (voir plus bas).
Problèmes respiratoires rencontrés ? : Traitée aux nébulisations de gentamicine sulfate, puis de tylosine, pour une rhinite à caractère épidémique ayant touché toute la troupe pendant une période changement de saison un peu humide. Kobayashi Maru a été un des premiers adultes « en bonne santé » à déclarer des symptômes (les tout premiers étaient deux rats avec des antécédents de pneumonie grave). Symptômes exclusivement de type rhinite (éternuements, quelques grougrous). Bien rentrés dans l'ordre avec un traitement oral à la doxycyline, mais il a eu droit aux nébus comme tout le monde quand même !
Poids : 450g (et c'est pas que du muscle xD mon gros nounours <3 )
Caractère avec l'humain : Uuuultra manipulable, KobaMaru c'est une pâte qui se laisse caresser et palper le surplus de peau sans rien dire, et bisouiller le bedon bien patiemment. Bon par contre je pense qu'il fait plus ça pour nous faire plaisir parce que c'est pas son gros kiff non plus ^^ Il reste un peu quand on le prend pour des câlins, mais il a vite fait de vaquer à son exploration ou à se trouver un coin confortable pour roupiller un peu. De temps en temps malgré son air de vieil ours polaire mal réveillé, il adore jouer, et retrouve une vivacité qui surpasserait celle de sa sœur ! 
Caractère avec les autres rats : Rien à redire ! C'est un oreiller pour tout le monde, il tient bien chaud à sa grand-mamie.
Place dans la hiérarchie : Je dirais qu'il doit être un chouïa plus préoccupée par celle-ci que sa sœur, il l'a déjà retournée quelques fois, sans aucune brutalité ni violence, et puis plus rien, même quand la place de la dominante a été libérée (son arrière-grand-mère Margo Maybellene ayant perdu en vitalité, c'est sa mère Rosalind Franklin qui a commencé à remettre un peu tout le monde à sa place pour faire savoir qu'elle prenait la suite).
"Niveau hormonal" : RAS, il est castré.

  • J'aime 1
  • J'adore 2
Posté

Je suis désolée pour Rosalind... C'est tellement triste et injuste.

 

Nom du rat : Sheba Queen

Problèmes de santé mineurs ou majeurs rencontrés : RAS

Problèmes respiratoires rencontrés ? : RAS

Poids : 309g

Caractère avec l'humain : très mignonne et bien sociable. Elle fait plein d'allers-retours pour nous voir !

Caractère avec les autres rats : Aucun souci avec ses copines, son groupe est stable, il n'y a pas de déséquilibre.

Place dans la hiérarchie : au milieu

"Niveau hormonal" : chaleurs régulières qui ne posent pas de soucis de comportement ou autre. Elle a eu une portée avec HKM-NAM Pan. Tout s'est très bien passé. Ça a pris au premier essai et il n'y a eu aucun souci de gestation ou de mise bas.

  • J'aime 1
  • J'adore 1
Posté

A mon tour de parler de mon merveilleux François <3

 

Nom du rat : François l'Encornet (de Haddock)


Problèmes de santé mineurs ou majeurs rencontrés : 2 épisodes de rhume. Le 1er passé sans traitement, juste des éternuements. Le 2eme, en novembre, éternuements + flancs qui creusent un peu (poumons RAS), soigné avec de la doxy.


Poids : oscille entre 580 et 600gr. Un peu de gras, mais rien d'inquiétant.


Caractère avec l'humain : ouhhhh un amour. Monsieur bisous, qui adore se lover sous le tee-shirt. Très humanophile.


Caractère avec les autres rats : il s'entend bien avec tout le monde, ne cherche pas les autres. Il est très équilibré mon raton.


Place dans la hiérarchie : assez neutre.


"Niveau hormonal" : RAS, beau poil, pas trop de sébum, pas trop de bagarre.

 

 

20211108_194136.jpg

  • J'adore 3
Posté

 

Nom du rat : Patelle


Problèmes de santé mineurs ou majeurs rencontrés : Octobre/novembre, éternuements + flancs qui creusent un peu rien détecté à la radio soigné avec de la doxy.


Poids  : 393 à la dernière pesée 


Caractère avec l'humain : vient dès que je l’appelle elle adore se mettre dans mes poches comme quand elle était petite. 


Caractère avec les autres rats : s'entend bien avec toutle monde, se défend quand on la cherche mais elle cherche personne


Place dans la hiérarchie : neutre.


"Niveau hormonal" : RAS,

 

Est devenue maman le 31 juillet 

 

 

Nom du rat : Jambonny 


Problèmes de santé mineurs ou majeurs rencontrés : un peu de tchoums après sa soeur, soigné avec de la doxy.


Poids : 410 à la dernière pesée 


Caractère avec l'humain : toujours là où je suis et veux grimper sur moi. C’est une voleuse de mouchoirs en papier elle adore. 


Caractère avec les autres rats : s’entend avec tout le monde mais faut pas la faire chier. Aime bien dormir seule par contre


Place dans la hiérarchie :  neutre.


"Niveau hormonal" : RAS de spécial 

  • Merci 1
Posté

J'avais oublié de posté mon brouillon ><

Du coup je poste la fiche de Pisiforme même si j'annonce son décès du 28 Octobre 2021 d'une rupture d'anévrisme. Pouah rien que de l'écrire j'ai les yeux larmoyants,  c'était une super rate et je suis ravie de l'avoir eue même si ce fut court ! RIP ma louloute :joie:

 

Nom du rat : Pisiforme
Problèmes de santé mineurs ou majeurs rencontrés : Tour chez le véto début Octobre car elle éternuait et je partais sur Paris en la laissant chez mes parents pour 2 semaines. Le véto a indiqué qu'il n'entendait rien de spécial et après discussion on a évoqué l'emplacement de la cage à changer car pas loin de la fenêtre. J'ai bougé la cage et on ne saura jamais si c'était ça la source du problème car placement chez mes parents ensuite et rien de spécial n'a été noté (bon appétit, jouer beaucoup, et pas de sons spéciaux audibles). Je les ai ensuite récupéré et une semaine plus tard Pisiforme décédait de son anévrisme. L'autopsie montrera également des lésions pulmonaires probablement d'origine tumorale.


Poids : 355gr à son décès.


Caractère avec l'humain : C'était un amour, elle m'a beaucoup aidé au tout début ou j'angoissais de les effrayer et de me faire mordre alors que pas du tout Pisiforme et de suite venue sur moi et *pouf* magie je n'avais plus peur. Elle adorait léchouiller, jouer avec l'humain, très sociable avec tout le monde , bonne morfale et une adepte de la grimpette ! (championne olympique de la montée d'escalier)


Caractère avec les autres rats : Très joueuse et sociable, je ne note rien de négatif sur les interactions avec Vixy !


Place dans la hiérarchie : C'était la dominante

 

 

__________________________________________________________________

Pour la grosse mollusque maintenant 

Nom du rat : Vixy


Problèmes de santé mineurs ou majeurs rencontrés : "Hoquet" qui est apparue après le décès de Pisiforme et qui se produit plusieurs fois par jour depuis, tour chez la véto courant novembre et RAS niveau respiratoire et autres. Hoquet résulte sûrement d'une cause "après la prise d'un repas" selon la véto. 


Poids : tourne aux alentours de 370gr


Caractère avec l'humain : De base solitaire et indépendante, elle préfère explorer ou se poser dans un coin que d'être avec un humain. Mais depuis qu'elle est toute seule ; elle vient plus à la recherche de caresse et d'attention. 


Caractère avec les autres rats : grosse drama-queen, elle est en générale aussi solitaire qu'avec les humains mais avait ses phases de jeux


Place dans la hiérarchie : c'était la dominée, retournement crêpe elle connait la p'tiote !


"Niveau hormonal" : Chaleur quasiment invisible pour moi quelques fois le magnifique levée de dos lorsqu'on la gratouille mais c'est tout (Pisiforme la "montait" parfois) . Pour le coup je n'arrive pas à voir de "régularité" dans les chaleurs.

 

  • Merci 1
  • 2 mois après...
Posté

Des nouvelles de mon mollusque !

Depuis 1 mois les soucis respi sont malheureusement de retour. D'abord quelques éternuements, puis François s'est mis à creuser très légèrement des flancs en respirant.

Les radios ont montré des poumons atteints, mais à priori on est plutôt sur un début d'infection, sans trace de tumeur ou d'abcès. Il est sous enrofloxacine depuis un peu plus de 3 semaines (il a revu le véto à mi traitement, et va le revoir dans 1 semaine). Je ne note pas vraiment d'amélioration niveau respi (vivementla radio pour en savoir plus), mais pas de dégradation non plus. Et à côté de ça il est en forme, sort bien, mange bien, etc. Il a même pris 30gr ^^

20220202_182445.jpg

20220124_172604.jpg

20220122_184205.jpg

  • J'aime 3
  • J'adore 2
  • Merci 1
  • 1 mois après...
Posté

La pesée des 2 belles mollusques pirates

Patelle 382

Jambonny 409

 

RAS de mon côté tout va bien et je croise les doigts pour que ça dure. 
Elles aiment bien les petites dernières mais aiment bien faire les kékés quand même surtout Jambonny 

Toujours aussi adorables et proches de moi. 
 

E760E1D5-278C-4524-9B3C-C36D2A0A5784625c3182f859ed63.md.jpg

 

  • J'adore 1
  • 2 semaines après...
Posté (modifié)

Je met l'info ici parce que sans quoi on a tendance à la perdre :

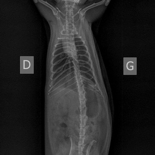
Fin janvier Kobayashi Maru a eu des soucis respis avec perte de poids. Pas de radio, mais légers crépitants au sthéto, il a été sous doxycycline + amélioration des conditions environnementales (idem, il faisait froid, et la ration alimentaire n'était peut-être pas suffisante, surtout au regard du retour de rates de la troupe) càd augmentation du chauffage, de la ration alimentaire + extras secs vitaminés saupoudrés sur la gamelle (algues en paillette, germe de blé, levure maltée, sésame, chia...). Tout ça combiné, il a repris du poids, et le contrôle sthéto était bon.

 

Fin mars j'ai trouvé la respiration de Kobayashi Maru étrange. Elle était un peu plus rapide et superficielle. Dans le doute, j'ai pris RDV pour une radio lundi 4.

Le WE juste avant, il a commencé à faire de légers bruits respiratoire, et sa respiration est devenue clairement plus rapide. À la pesée, je me suis aperçue qu'il avait de nouveau perdu du poids (390g).

Je pense que le gros coup de froid, de vent et de sec (mon appartement est descendu à 15-16 de mémoire, et l'hygro à 35%) a du pas mal jouer.

 

À la radio, pour reprendre Artefact "c'est pas si pire", mais ça pourrait être mieux. On trouve quelques foyers. On part avec le véto sur 10 jours de doxycycline, 5mg/kg/12h, en PO.

 

Il prend très gentiment son médicament dans de la crème de soja pour l'instant.

 

Les radios d'hier :

NAC-THORAX PROFIL-04_04_2022-14_56_20-547.JPEG

NAC-ABDOMEN FACE NORMAL-04_04_2022-14_56_20-157.JPEG

Modifié par Ambrozy
  • 1 mois après...
Posté (modifié)

Les mollusques pirates ont la forme je croise les doigts que ça dure. Toujours parfaites merveilleuses et gentilles. 
pour la pesée du 02/05

Patelle 440

Jambonny 419

 

 

2AE7D8E0-B535-4E8B-B66C-5B1B9944147F.jpeg

02720F03-B367-45E2-84E9-D99A9C133716.jpeg

Modifié par Pammy
  • J'adore 2
  • 3 semaines après...
Posté

Petite MAJ.

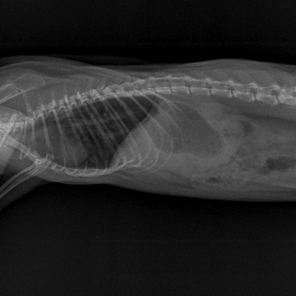
Début avril, comme vu plus tôt, 10 jours de doxycycline, 5mg/kg/12h, en PO pour Koba suite à symptômes respis avec perte de poids.

Il y avait du mieux donc on a arrêté au bout de 10 jours.

Et puis fin avril sa respiration est devenue accélérée de façon flagrante, avec quelques rares bruits respiratoires.

On est repartis sur un mois (28 jours ajd) de doxycycline, toujours à 5mg/kg/12h en PO (bon, pour compenser les risques de perte, on était plus sur du 6mg/kg).

 

Nouvelle radio ajd. Toujours un peu d'opacité pulmonaire mais le vétérinaire trouve qu'il y a un léger mieux. La radio est pas de qualité top (l'ASV devait me bloquer un créneau long pour qu'il ait le temps de faire la radio, au final ça n'a pas été fait, donc sur 20 minutes avec la clinique + le recap + la radio, ça a du être fait un peu rapidement). Le poids est stable, à 445g environ. Il mange très bien, la respiration est toujours un peu plus rapide mais je la trouve mieux que lorsqu'on a commencé à s'inquiéter.

Note : pauvre Doudou a du enchaîner une cage dont les tapis n'ont été lavés qu'au bout de +de 2 semaines (période de partiels + gros stress, j'ai pas réussi à gérer plus que le nettoyage quotidien) et a enchaîné avec une semaine en mobilhome en Bretagne avec hygro fluctuante (bord de mer breton + manque d'isolation + radiateur de type "grille-pain") + le stress du voyage et du nouvel environnement.

1733451997_NAC-THORAXPROFIL-25_05_2022-16_01_59-62.JPEG.555773f7acdefce2cbb10126fa361473.JPEG1361081938_NAC-THORAXPROFIL-25_05_2022-16_01_58-547.JPEG.ebf5c5f937890f4f860193d5e7a505d4.JPEG

  • 3 semaines après...
Posté

Mon merveilleux Cornichon est parti il y a maintenant 2 semaines. Je lui ferai un message hommage avec plein de photos quand j'en aurai le courage, mais en attendant, je viens mettre à jour le suivi :

 

Après 4 mois super stables (maintient de son poids, pas de signe de souffrance, François qui gambade, joue, bref, vit sa vie de rat), les problèmes respi sont revenus début mai. On a repris l'Enrofloxacine, qui avait bien fonctionné en janvier. Au bout de 15 jours, on a ajouté de la cortisone, car François perdait du poids très rapidement, et montrait des signes de souffrance. Pendant 3/4 jours, ça l'a bien aidé, malheureusement, son état s'est ensuite de nouveau dégradé.

Le 28 mai, je l'ai retrouvé en me levant le matin endormi pour toujours dans un hamac, deux copains couchés sur lui comme pour tenter de le maintenir au chaud...

 

Il me manque énormément, et je soutiens fort celles qui ont perdu des frères et sœurs. Grosses papouilles à ceux toujours parmi nous. C'est vraiment une portée de rats au caractère exceptionnel.

  • Tristesse 5
  • 9 mois après...
Posté

Petite MAJ pour Shabu-Shabu qui est toujours là

Visite véto hier parce qu'elle commençait une malocclusion, le diastème des incisives inférieur s'était accru et une dent poussait en biseau. J'espère qu'elle ne va pas récidiver mais bon, généralement quand ça commence...

On objective une perte de poids d'environ 60g depuis début janvier, date du dernier tour véto pour baisse de forme sans trop rien trouver. C'est pas mieux pas pire, elle a une perte de force au niveau des pattes arrières. L'hypothèse c'est possiblement une atteinte neuro type TH (ou "juste" la vieillesse qui sait) à progression lente, donc ça ne me semble pas forcément pertinent de trop l'embêter. Je réfléchis à la cabergoline parfois, je ne sais pas trop.

Également, une petite masse ressentie au niveau intestinal. On surveille, mais pour l'instant sans certitude que ça la gêne, on ne touche pas.

Bientôt les 30 mois !

  • J'adore 4
Posté

Notre championne. Évidemment ce n'est pas que des bonnes nouvelles, mais c'est pas si mal pour son âge ! Petites gratouilles à elle.

Posté

Même si ce n'est pas la forme olympique, par rapport au reste de sa fratrie elle s'en sort super bien ! J'espère qu'elle va s'accrocher encore quelques mois !

Posté

Ça fait plaisir de voir des news dans ce suivi là. Qu’est-ce qu’elles me manquent mes mollusques pirates 

  • J'aime 2
  • 2 mois après...
Posté

Des nouvelles ici, avec malheureusement un petit mois de retard car je viens seulement de commencer à me poser depuis les faits.

 

Ma jolie Shabu-Shabu est partie dans la nuit du 17 au 18 mai (aux alentours de minuit), "comme une princesse" pour reprendre les mots de sa naisseuse.

Depuis avril, pas de changement majeur, mais le 17 au soir je l'ai trouvée avec une masse de la taille d'une grosse noisette / petite noix au coude de la patte avant. Étant en pleine période d'examens, les rates n'étaient pas inspectées/palpées comme elles le sont d'ordinaire, et comme elle est toujours la dernière à la gamelle j'ai dû la louper (à cette période de l'année c'était un peu "eau et bouffe check, tout le monde est vivant et vient manger, check").

Elle a eu une sortie sur mon lit avec les copines. Le temps de réfléchir à la logistique pour l'emmener d'urgence chez le véto et voir pour une opération (parce qu'elle me faisait ça la veille d'un départ en vacances à l'étranger, bien évidemment), petite princesse est partie doucement est tranquillement. Elle avait quelques signes de difficulté à respirer (postée au bord du lit, le museau dans le vide ; pas envie de rester sous la couette, discordance entre le mouvement du thorax et de l'abdomen, flancs légèrement creusés) et se traînassait sur le lit.

 

Nous avons pris avec Artefact la décision de ne pas faire de nécropsie puisqu'elle répond assez bien à la définition de la mort de vieillesse.

 

Du reste, elle était en forme correcte pour son âge (mobilité des quatre membre, capacité à grimper, alimentation solide) mais s'était dégradée très doucement (diminution de la prise alimentaire, faiblesse des membres, préférence du sol de la cage plutôt que les plateformes, sommeil plus long, plus longue à réagir à l'appel ou à l'arrivée de la gamelle de mélange).

 

J'ai mis le LORD à jour (mais ai calé que ça n'avait pas été le cas pour son frère gloups).

 

  • Tristesse 5
Posté

Doux repos à la merveilleuse Shabu-Shabu qui aura une une très longue vie. Ses frères et sœurs sont quasiment tous partis trop tôt alors ça apporte un peu de réconfort de savoir que tu as profité de ta puce longtemps. On comptait sur elle pour compenser le départ des autres en vivant très âgée et elle a tenu cette promesse... En plus elle nous fait le cadeau d'avoir repro et j'espère très très fort que sa descendance, qui continue encore chez moi, héritera de sa longévité. Merci à elle de nous permettre d'avoir de merveilleux ratons.

 

Courage à vous toi car même si elle part à un âge acceptable, elle va beaucoup te manquer.

  • 6 mois après...
Posté

En mettant à jour la portée de Sheba suite à la perte récente de sa dernière fille Vaiana, je m'aperçois que je n'avais pas détaillé ici le suivi de ma précieuse Sheba. Ca fait très mal de remuer tout ça mais voici toutes les informations concernant cette chouette puce qui me manque toujours... Malheureusement, je n'ai pas réussi à garder sa branche... Il ne reste actuellement quasiment plus de descendants et la branche s'est arrêtée brutalement au décès de son arrière-petite-fille DEL Antiope quelques heures après sa césarienne.

 

Sheba Queen 2/05/2022 (18 mois) : coup de mou --> 3/5/2022 : pattes arrières qui trainent : anti-inflammatoire mais pas d'amélioration --> 4/05/2022 : rdv + radio : pas de lésion franche, hernie discale probable, ventre gonflé

--> injection de cortisone : amélioration de sa motricité pour une patte arrière seulement et encore petite amélioration le 6/05/2022 --> 9/05/2022 : rdv pour nouvelle injection de cortisone, plus de masse interne ni de ventre gonflé, ça devait être sa vessie qui était pleine et qui ne s'était pas bien vidée à cause de la paralysie. Bonne amélioration de sa motricité
14/05/2022 : de nouveau paralysée --> 17/05/2022: rdv car est affalée sur le côté, grosse fonte musculaire, n'arrive plus à se tenir, perte d'appétit, nécessité de lui vider la vessie et de l'hydrater à la seringue : 3ème injection de cortisone, dernière tentative, atteinte neuro pas exclue mais aucune amélioration et paralysie profonde --> 20/05/2022 (18 mois) : euthanasie. Autopsie : RAS aux organes

 

Le suivi de sa portée avec HKM Pan est à jour  :

 

 

 

 

Rejoindre la conversation

Vous pouvez publier maintenant et vous inscrire plus tard. Si vous avez un compte, connectez-vous maintenant pour publier avec votre compte.

Invité
Répondre à ce sujet…

×   Collé en tant que texte enrichi.   Coller en tant que texte brut à la place

  Seulement 75 émoticônes maximum sont autorisées.

×   Votre lien a été automatiquement intégré.   Afficher plutôt comme un lien

×   Votre contenu précédent a été rétabli.   Vider l’éditeur

×   Vous ne pouvez pas directement coller des images. Envoyez-les depuis votre ordinateur ou insérez-les depuis une URL.

[Projet vidéo] ChatBox

[Projet vidéo] ChatBox

    Vous n'avez pas la permission d'utiliser les salons de discussions.
    ×
    ×
    • Créer...

    Information importante

    En poursuivant votre navigation sur ce site, vous acceptez l’utilisation de cookies permettant d'améliorer votre expérience de navigation et mémoriser vos paramètres utilisateur pendant votre visite. Aucune information contenue dans ces cookies ne permet de vous identifier sans votre permission. SRFA ne transmet aucune information non anonyme à des applications tierces.