Aller au contenu

Messages recommandés

Posté

Bonjour,

 

Je me questionne sur un sujet dont je ne trouve pas vraiment de réponses: la fibrose pulmonaire.

 

Certains d'entre vous ont vu passé en 2023 ici un sujet sur la naissance de ma 3ème portée: VIC Zelda & MAL Alpha. Et on ne vas pas se mentir, cette portée est fiasco... :( Nous avions eu 8 ratons nés le 07 mars 2023 et sur les 8, 3 déjà décédés dont 2 de soucis respiratoires. Nous avons sur cette famille commencé par Zéphyr, le frère de Zelda décédé en septembre 2023 après un long combat depuis avril. Une analyse avait été faite et révélait une bactérie ultra résistante et n'avait pas ressorti de mycoplasme. Quelques mois plus tard, Zelda a commencé à être touché par le même type de pathologie ainsi que son fils Björn. Après de longs traitements également, Zelda nous a quitté en juin et Björn en juillet alors que les traitements ne les soulageaient plus. Et a l'heure actuelle, je vois Cassian et Pénélope, toujours la même portée, développer à leur tour les mêmes symptômes. Ils sont actuellement sous traitement mais aucune analyse n'a été effectué. Je crains qu'une anesthésie lors du prélevement leur soit fatale. En revanche, des radios ont été effectués et ma vétérinaire à évoqué une fibrose pulmonaire, avec un stade plus avancé pour Cassian.

Je précise que j'ai 17 rats à la maison, dont des vieux âgés de 2ans et demi et 3 ans de ma première portée et ceux-ci ont toujours vécu au contact de Zelda et sa portée et n'ont jamais fait le moindre bruit respiratoire.

 

Maintenant, je me questionne: la fibrose pulmonaire est-elle une pathologie génétique? Pouvez-vous m'apporter vos témoignages, votre vécu.

 

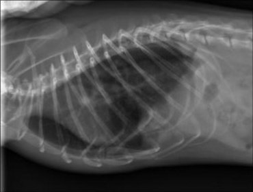
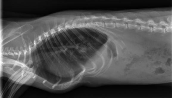
Je vous joint les radios de Cassian et Pénélope pour comparaison si vous avez également des radios de fibrose. 

CASSIAN_corpsentier_face_1fibrose.jpg.9d0ebe9324977b38849b5a11505e62b9.jpgPENELOPE_corpsentier_face_1.jpg.c3f7df9c81ffd6672607b852461d1880.jpg

  • Tristesse 1

Rejoindre la conversation

Vous pouvez publier maintenant et vous inscrire plus tard. Si vous avez un compte, connectez-vous maintenant pour publier avec votre compte.

Invité
Répondre à ce sujet…

×   Collé en tant que texte enrichi.   Coller en tant que texte brut à la place

  Seulement 75 émoticônes maximum sont autorisées.

×   Votre lien a été automatiquement intégré.   Afficher plutôt comme un lien

×   Votre contenu précédent a été rétabli.   Vider l’éditeur

×   Vous ne pouvez pas directement coller des images. Envoyez-les depuis votre ordinateur ou insérez-les depuis une URL.

[Projet vidéo] ChatBox

[Projet vidéo] ChatBox

    Vous n'avez pas la permission d'utiliser les salons de discussions.
    ×
    ×
    • Créer...

    Information importante

    En poursuivant votre navigation sur ce site, vous acceptez l’utilisation de cookies permettant d'améliorer votre expérience de navigation et mémoriser vos paramètres utilisateur pendant votre visite. Aucune information contenue dans ces cookies ne permet de vous identifier sans votre permission. SRFA ne transmet aucune information non anonyme à des applications tierces.