Aller au contenu

Messages recommandés

Posté

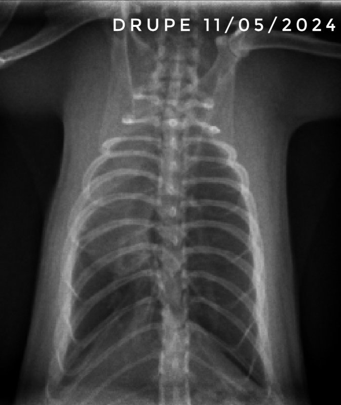
Et voici les dernières radios de Drupe. On est donc normalement sereins, les poumons ne sont pas parfaits, mais on est sûrement sur des cicatrices. Maintenant, il lui reste à passer l'étape de la castration et normalement ensuite il sera tranquille niveau soins vetos ^^

 

 

Chez les autres bébés qui ont survécut et qui ont arrêté les traitements en février, un seul a été provisoirement remis sous traitement, et c'est suite à des petits éternuements sur toute la troupe, qui n'ont pas commencés par lui, et il n'a pas été particulièrement touché. Ils ont tous des poids corrects pour des ratons de leur âge, sauf Drupe qui est plus petit mais il prend progressivement quand même.

 

J'en profite pour vraiment remercier l'association pour l'aide financière <3

Screenshot_20240511_121834-01.jpeg

Screenshot_20240511-121855_Drive-01.jpeg

  • J'aime 3
  • J'adore 3
Posté

J'espère qu'ils vivront longtemps tes warriors !

  • Merci 1
Posté
Il y a 11 heures, Vazaha a dit :

Et voici les dernières radios de Drupe. On est donc normalement sereins, les poumons ne sont pas parfaits, mais on est sûrement sur des cicatrices. Maintenant, il lui reste à passer l'étape de la castration et normalement ensuite il sera tranquille niveau soins vetos ^^

 

 

Chez les autres bébés qui ont survécut et qui ont arrêté les traitements en février, un seul a été provisoirement remis sous traitement, et c'est suite à des petits éternuements sur toute la troupe, qui n'ont pas commencés par lui, et il n'a pas été particulièrement touché. Ils ont tous des poids corrects pour des ratons de leur âge, sauf Drupe qui est plus petit mais il prend progressivement quand même.

 

J'en profite pour vraiment remercier l'association pour l'aide financière <3

Screenshot_20240511_121834-01.jpeg

Screenshot_20240511-121855_Drive-01.jpeg

Courage pour Drupe, dernière ligne droite petit battant ❤️

Du coup chez les filles au final quelle traitement avait fonctionné ? Car il me semble qu'elles n'ont pas eu de chloramphenicol où je me trompe ? 

Posté
il y a 13 minutes, HopeRatoune a dit :

Courage pour Drupe, dernière ligne droite petit battant ❤️

Du coup chez les filles au final quelle traitement avait fonctionné ? Car il me semble qu'elles n'ont pas eu de chloramphenicol où je me trompe ? 

Le seul ayant eu du chloramphénicol est décédé. Pour les autres c'est le trio tylosine par nébu + doxycycline et azythromycine qui a été efficace. Après les filles ont eu très peu de symptômes (la plus touchée c'était ma petite Graine, que j'ai gardée donc, et qui n'a jamais eu les poumons touchés pour autant).

Posté
il y a 1 minute, Vazaha a dit :

Le seul ayant eu du chloramphénicol est décédé. Pour les autres c'est le trio tylosine par nébu + doxycycline et azythromycine qui a été efficace. Après les filles ont eu très peu de symptômes (la plus touchée c'était ma petite Graine, que j'ai gardée donc, et qui n'a jamais eu les poumons touchés pour autant)

Ah oui je n'avais pas bien suivi pour le chloramphénicol, désolé 😏

Merci pour les infos, je ne connaissais pas la tylosine en nébu, je fais de la genta souvent 

Posté
il y a 20 minutes, HopeRatoune a dit :

Ah oui je n'avais pas bien suivi pour le chloramphénicol, désolé 😏

Merci pour les infos, je ne connaissais pas la tylosine en nébu, je fais de la genta souvent 

Ouaip, c'est le plus classique, mais visiblement il a eu beaucoup de résultats bofs (pas d'effets quoi) avec la gentamycine dernièrement d'où le fait qu'il ait pas tenté...

  • J'aime 1
Posté
il y a 9 minutes, Vazaha a dit :

Ouaip, c'est le plus classique, mais visiblement il a eu beaucoup de résultats bofs (pas d'effets quoi) avec la gentamycine dernièrement d'où le fait qu'il ait pas tenté...

C'est toujours bon à savoir 

Rejoindre la conversation

Vous pouvez publier maintenant et vous inscrire plus tard. Si vous avez un compte, connectez-vous maintenant pour publier avec votre compte.

Invité
Répondre à ce sujet…

×   Collé en tant que texte enrichi.   Coller en tant que texte brut à la place

  Seulement 75 émoticônes maximum sont autorisées.

×   Votre lien a été automatiquement intégré.   Afficher plutôt comme un lien

×   Votre contenu précédent a été rétabli.   Vider l’éditeur

×   Vous ne pouvez pas directement coller des images. Envoyez-les depuis votre ordinateur ou insérez-les depuis une URL.

[Projet vidéo] ChatBox

[Projet vidéo] ChatBox

    Vous n'avez pas la permission d'utiliser les salons de discussions.
    ×
    ×
    • Créer...

    Information importante

    En poursuivant votre navigation sur ce site, vous acceptez l’utilisation de cookies permettant d'améliorer votre expérience de navigation et mémoriser vos paramètres utilisateur pendant votre visite. Aucune information contenue dans ces cookies ne permet de vous identifier sans votre permission. SRFA ne transmet aucune information non anonyme à des applications tierces.