Aller au contenu

Messages recommandés

Posté
il y a 38 minutes, Pinky-pie62 a dit :

Ah !? C'est un des premiers traitements qu'elle avait eu enfin elle avait eu de la doxycicline juste avant qui s'était avéré inefficace et en deuxième traitement le Chloramphenicol qui lui a permis de se stabiliser 

 

Tout les vetos ne travaillent pas de la meme façon mais il m'avait jamais parler de sa dangerosité 

Hésite pas à lui en parler la prochaine fois, de ce que je lis à droite à gauche, ça se prescrit pas en première intention quand même. Après, selon l'expérience du veto, il se peut qu'il ait juste pas évoqué le cheminement qui l'a mené là, mais S'il a eu beaucoup de résultats avec et beaucoup de difficultés avec les autres atb, il se peut qu'il le prescrive + rapidement maintenant aussi. 

Posté
il y a 58 minutes, Vazaha a dit :

Hésite pas à lui en parler la prochaine fois, de ce que je lis à droite à gauche, ça se prescrit pas en première intention quand même. Après, selon l'expérience du veto, il se peut qu'il ait juste pas évoqué le cheminement qui l'a mené là, mais S'il a eu beaucoup de résultats avec et beaucoup de difficultés avec les autres atb, il se peut qu'il le prescrive + rapidement maintenant aussi. 

J'ai plus personne de malade donc je le verrais pas avant un moment j'espère mais je lui en parlerais 

  • J'aime 1
Posté
Le 21/03/2024 à 17:26, Vazaha a dit :

Bon, ben il est décédé avant... je l'ai quand même emmené, et j'emmène Caryopse, qu'on le radiographie et voit si on fait des analyses sur Pyridion... 

Si quelqu'un a un éclair de génie sur quelles analyses faire, c'est le moment.

 

 

oh dur! ;(

 

je t’envoie plein de courage  <3

  • Merci 1
Posté

Plein de courage Cécile 😞

Je suis tellement triste pour toi et pour eux. 

J'espère que le nouveau traitement va agir 🤞🤞

  • Merci 1
Posté

Juste pour le Chloramphenicol, rapidement, cette page est assez intéressante sur ses risques (et autant pour moi, je sais pas pk j'ai retenu tératogène mais à priori non, bien que ça puisse être dangereux pour le fœtus)

https://www.wedgewoodpharmacy.com/medications/chloramphenicol/

Notamment quand même, je le souligne, la nécessité de prendre des précautions ++ (gants) afin de ne pas entrer en contact avec le produit quand on en donne à son animal. Mon veto m'en avait parlé, faire attention à ne pas avoir de contact avec la peau, mais je préfère le remettre ici, parce qu'en lisant plus d'infos dessus, faut pas le prendre à la légère. 

(Risque d'aplasie médullaire notamment, alors 1 personne sur 10 000 certes, mais bon, irréversible ^^')

  • J'aime 2
  • Merci 2
Posté
Le 23/03/2024 à 23:06, Vazaha a dit :

Juste pour le Chloramphenicol, rapidement, cette page est assez intéressante sur ses risques (et autant pour moi, je sais pas pk j'ai retenu tératogène mais à priori non, bien que ça puisse être dangereux pour le fœtus)

https://www.wedgewoodpharmacy.com/medications/chloramphenicol/

Notamment quand même, je le souligne, la nécessité de prendre des précautions ++ (gants) afin de ne pas entrer en contact avec le produit quand on en donne à son animal. Mon veto m'en avait parlé, faire attention à ne pas avoir de contact avec la peau, mais je préfère le remettre ici, parce qu'en lisant plus d'infos dessus, faut pas le prendre à la légère. 

(Risque d'aplasie médullaire notamment, alors 1 personne sur 10 000 certes, mais bon, irréversible ^^')

Si dangereux que ça ? Mon veto quand il m' avait prescrit le Chloramphenicol à part la posologie il a absolument pas parler de la dangerosité ni des précautions à avoir quant à la manipulation de ce médicament et évidemment je n'ai jamais mis de gants pour administrer ce médicament 

Posté
Le 23/03/2024 à 23:06, Vazaha a dit :

Juste pour le Chloramphenicol, rapidement, cette page est assez intéressante sur ses risques (et autant pour moi, je sais pas pk j'ai retenu tératogène mais à priori non, bien que ça puisse être dangereux pour le fœtus)

https://www.wedgewoodpharmacy.com/medications/chloramphenicol/

Notamment quand même, je le souligne, la nécessité de prendre des précautions ++ (gants) afin de ne pas entrer en contact avec le produit quand on en donne à son animal. Mon veto m'en avait parlé, faire attention à ne pas avoir de contact avec la peau, mais je préfère le remettre ici, parce qu'en lisant plus d'infos dessus, faut pas le prendre à la légère. 

(Risque d'aplasie médullaire notamment, alors 1 personne sur 10 000 certes, mais bon, irréversible ^^')

Je viens de lire le lien. 

Il m'a fait prendre un gros risque en fait.. C'est du n'importe quoi j'estime qu'il aurait du me dire de faire très attention 😑 

Fin bref je pollue le post désolé ! 

Posté

Après, clairement pour s'en mettre sur la peau, faut y aller quand même, et pas sûre que ça puisse se faire "si facilement". 

Posté
il y a 13 minutes, Vazaha a dit :

Après, clairement pour s'en mettre sur la peau, faut y aller quand même, et pas sûre que ça puisse se faire "si facilement". 

J'en ai eu sous forme de gélule à mélangé avec de l'eau puis à donner selon la posologie que j'avais à ce moment là donc en fait vu qu'après c'était sous forme liquide c'est assez simple de s'en renverser sur les mains puisque ça m'est arrivé 

Bon c'était y'a quelques mois et que je sache je ne suis pas malade donc le 1/10 000 c'est assez juste je pense 

Posté
Il y a 2 heures, Pinky-pie62 a dit :

J'en ai eu sous forme de gélule à mélangé avec de l'eau puis à donner selon la posologie que j'avais à ce moment là donc en fait vu qu'après c'était sous forme liquide c'est assez simple de s'en renverser sur les mains puisque ça m'est arrivé 

Bon c'était y'a quelques mois et que je sache je ne suis pas malade donc le 1/10 000 c'est assez juste je pense 

Oui, ça reste peu fréquent + on manipule à priori de tres petites quantités. Perso c'est sous forme liquide directement que je l'ai.

  • J'aime 1
Posté
Il y a 2 heures, Vazaha a dit :

Oui, ça reste peu fréquent + on manipule à priori de tres petites quantités. Perso c'est sous forme liquide directement que je l'ai.

Bon courage en tout cas en espérant que ce traitement fonctionne bien ^^

  • Merci 1
Posté

On verra jeudi, au contrôle veto, pour le moment Caryopse prend du poids (il a enfin passé les 200g \o/) et je le trouve mieux mais il m'a fait une mini détresse respiratoire vendredi et une petite hier matin (à chaque fois après les nebu, donc ensuite je repars sur un temps réduit le matin, le soir ça passe bien...), donc je préfère ne pas me faire d'illusion ^^' Il éternue toujours beaucoup. 

Bref, on verra bien ! Et je suis assez embêtée par le fait qu'il se retrouve seul, et comme il éternue encore pour le moment on évite les contacts avec ses 2 frères encore là.

  • Tristesse 1
Posté
il y a 5 minutes, Vazaha a dit :

On verra jeudi, au contrôle veto, pour le moment Caryopse prend du poids (il a enfin passé les 200g \o/) et je le trouve mieux mais il m'a fait une mini détresse respiratoire vendredi et une petite hier matin (à chaque fois après les nebu, donc ensuite je repars sur un temps réduit le matin, le soir ça passe bien...), donc je préfère ne pas me faire d'illusion ^^' Il éternue toujours beaucoup. 

Bref, on verra bien ! Et je suis assez embêtée par le fait qu'il se retrouve seul, et comme il éternue encore pour le moment on évite les contacts avec ses 2 frères encore là.

J'avais justement pensé au fait qu'il se retrouvait seul 😕 vraiment pas simple. Vivement le contrôle, mais la prise de poids c'est encourageant déjà 🤞

  • J'aime 2
Posté

Je croise très fort pour qu'il aille mieux et qu'il puisse ensuite retrouver ses frères.

  • J'aime 1
Posté
Il y a 4 heures, Tani a dit :

Je croise très fort pour qu'il aille mieux et qu'il puisse ensuite retrouver ses frères.

Je pense que d'ici qu'il aille mieux, ses frères seront partis (on attend la guérison totale de Drupe mais ça ne devrait plus trop tarder je pense). Il sera implanté dans un premier temps et castré dès que sa santé le lui permettra (sauf si par miracle sa santé se remet si vite qu'il puisse être castré direct mais j'y crois pas ^^'). Comme ça il pourra être intégré à mes filles.

Posté

Ok, c'est un bon programme pour lui d'être avec des filles s'il arrive à bien remonter la pente, ce que j'espère très fort !

 

  • J'aime 1
Posté

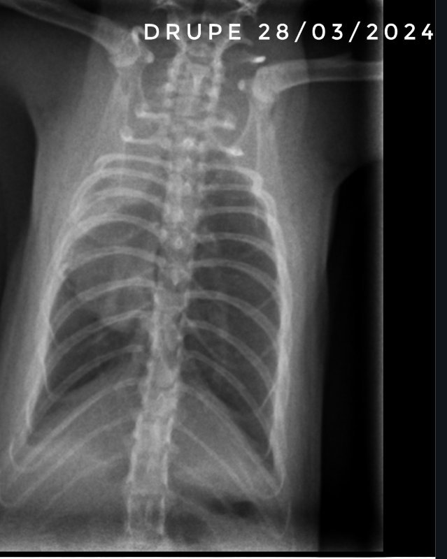
Les radios du jour.

Drupe a encore une belle évolution, on espère qu'à la prochaine consultation, dans 2 semaines 1/2, on pourra arrêter les médocs.

 

Les radios de Caryopse montrent une petite évolution positive en 1 semaine, donc on continue le chloramphenicol mais on arrête les nebu, ça le fait partir en détresse respiratoire régulièrement (3 fois en 1 semaine). Il a en plus un petit ulcère a l'œil gauche depuis jeudi dernier mais ça, ça guérit bien.

Screenshot_20240328-201449_Drive-01.jpeg

Screenshot_20240328_210347-01.jpeg

Screenshot_20240328_210518-01.jpeg

  • J'aime 4
Posté

Ce sont de bonnes nouvelles, je croise les doigts pour eux 🤞🤞🥰

  • Merci 1
Posté

Comme tout ceci n'est qu'un éternel recommencement, Caryopse a perdu 23g depuis le 28 mars..  

Bref, suite à échange de mails, l'une des suppositions est que c'est lié au chloramphenicol (c'est un des effets secondaires possible, et vu tout ce qu'il enxhaine comme médoc depuis fin novembre, ça serait même pas étonnant), donc j'ajoute un médicament contre les ulcères... j'espère que ça va suffire !

Posté
il y a 15 minutes, Vazaha a dit :

Comme tout ceci n'est qu'un éternel recommencement, Caryopse a perdu 23g depuis le 28 mars..  

Bref, suite à échange de mails, l'une des suppositions est que c'est lié au chloramphenicol (c'est un des effets secondaires possible, et vu tout ce qu'il enxhaine comme médoc depuis fin novembre, ça serait même pas étonnant), donc j'ajoute un médicament contre les ulcères... j'espère que ça va suffire !

Petit cœur 😞, j'espère que ça va l'aider également, j'envoi plein de courage à ce petit battant, et à toi aussi 

  • J'aime 1
Posté

C'est très très très fort probable que ce soit du au chloramphénicol oui !

J'ai eu une rate sous cette molécule pendant 7 jours, elle a perdu quelques grammes au passage, qu'elle a bien repris ensuite :)

 

De bonnes ondes :chance: tu gères :respect:

  • Merci 1
Posté

Caryopse est malheureusement parti, bien entouré, il s'était beaucoup dégradé ces derniers jours... Il a fait une courte détresse respiratoire et est décédé... Normalement, Drupe est le dernier à devoir guérir mais lui ça devrait aller...

  • Tristesse 10
Posté
il y a 18 minutes, Vazaha a dit :

Caryopse est malheureusement parti, bien entouré, il s'était beaucoup dégradé ces derniers jours... Il a fait une courte détresse respiratoire et est décédé... Normalement, Drupe est le dernier à devoir guérir mais lui ça devrait aller...

Je suis vraiment désolé pour ce p'tit bout de chou, je te souhaite beaucoup de courage et envoi plein de bonnes ondes à Drupe 🍀🍀🍀

  • J'aime 1
  • Merci 1
Posté

Je suis désolée pour toi et toutes ces petites graines qui ont eu à peine le temps de germer et de croître.

J'espère que Caryopse sera le dernier départ et que tu verras bientôt le bout de tout ça.

Plein de bonnes ondes pour Drupe.

  • Merci 1

Rejoindre la conversation

Vous pouvez publier maintenant et vous inscrire plus tard. Si vous avez un compte, connectez-vous maintenant pour publier avec votre compte.

Invité
Répondre à ce sujet…

×   Collé en tant que texte enrichi.   Coller en tant que texte brut à la place

  Seulement 75 émoticônes maximum sont autorisées.

×   Votre lien a été automatiquement intégré.   Afficher plutôt comme un lien

×   Votre contenu précédent a été rétabli.   Vider l’éditeur

×   Vous ne pouvez pas directement coller des images. Envoyez-les depuis votre ordinateur ou insérez-les depuis une URL.

[Projet vidéo] ChatBox

[Projet vidéo] ChatBox

    Vous n'avez pas la permission d'utiliser les salons de discussions.
    ×
    ×
    • Créer...

    Information importante

    En poursuivant votre navigation sur ce site, vous acceptez l’utilisation de cookies permettant d'améliorer votre expérience de navigation et mémoriser vos paramètres utilisateur pendant votre visite. Aucune information contenue dans ces cookies ne permet de vous identifier sans votre permission. SRFA ne transmet aucune information non anonyme à des applications tierces.