Aller au contenu

Messages recommandés

Posté

Bonjour à tous,

 

Me voici avec la suite des aventures de mes ratons... Suite malheureuse vous l'imaginez, sinon je ne serais pas ici, et j'ai besoin de vos retours si jamais vous avez des connaissances qui pourraient aider.

 

Pour rappel, l'historique jusqu'à janvier :

Révélation

Bonjour à tous,

 

Comme certains l'ont déjà vu, j'ai des soucis de santé (pneumopathies) sur ma portée actuelle. Pour récap :

-portée de 15 bébés nés le 19 novembre,

-aucun problème sur la première semaine, tout le monde est grand et gras.

  • Gland est le premier bébé à prendre un vrai retard de croissance, très rapidement il passe de "en forme" à chétif. Je pense qu'il avait un vrai soucis autre mais bon, voilà, il est décédé le 3 décembre.
  • Le 5 décembre, j'ai un des bébé qui fait des bruits respis. Ca dure 5 minutes puis plus rien. Rien le 6, rien le 7 matin. Les bébés sont dans la chambre et j'y passe beaucoup de temps pour être avec eux, donc clairement je ne l'aurai pas raté.
  • Le 7 matin, je fais une séance photo, tout le monde est bien au taquet, une petite (Noix) est en retard niveau croissance par rapport aux autres, mais elle va très bien. Le 7 au soir, des bruits respis dans la cage, mais difficile de trouver qui en fait, ça s'arrête dès que j'ouvre la grille. Je prends la décision d'appeler le véto le lendemain matin. Vendredi 8 matin, plusieurs ratons font des petits éternuements : je prends rdv pour le soir même chez mes spé-nacs de Lyon (ils ne peuvent pas me recevoir eux-même par contre les 2 spécialistes "fixes" présents (et en qui j'ai 100% confiance) les voient. A mon arrivée sur place, c'est rapidement la sidération, Noix se met à respirer très très mal : est-ce le trajet ou la chaleur en clinique ? Quoi qu'il en soit, ils mettent tout le monde sous oxygène pendant que j'attends, ça dure bien 1h. L'oxygène ne lui fait aucun effet... Je repars avec un traitement de doxycycline pour tout le monde.
  • La petite Noix décède dans la nuit du dimanche au lundi 11 décembre. Je poursuis le traitement jusqu'au 15, 3 ratons semblent plus touchés que les autres (bruits respis), mais les autres vont bien, en dehors de quelques éternuements. Ces 3 bébés passent sous double antibiothérapie le 12 décembre suite à une visite véto qui confirme qu'ils sont bien plus touchés que les autres: je dois poursuivre la doxy + j'ajoute de l'enrofloxacine, et on commence des nébus (propolis purifiée) pour tous.
  • Le 16, mon conjoint part chercher une nouvelle plaquette de doxycycline puisque nous avons fini la notre : stupeur, erreur dans la plaquette qui m'a été donnée le 8, cela fait 11j que je donne des corticoïdes à très hautes doses (bien plus que ce qu'ils devraient avoir) à la place de la doxycycline... Je suis évidemment très en colère, je m'en veux aussi de pas avoir creusé la différence de nom mais en même temps je n'avais pas de raisons de douter... Bref, on discute avec la clinique : je passe tout le monde sous enrofloxacine, on laisse tomber la doxycycline.
  • Un des bébés réagit mal au changement, il perd 5g dans les premières 24h sans et a du mal à regagner ensuite, il est apathique le premier jour... Chez les autres c'est variable, ils sont plusieurs à stagner un peu en poids ensuite. Mais bref, tout le monde est sous antibio. C'est Noël, donc évidemment pas la période la plus simple : nous passons les fêtes en Normandie, donc on part équipés, on couvre bien tout le monde dans la voiture + on prend un thermomètre pour toujours vérifier la température. 
  • Quoi qu'il en soit, deux des 3 bébés les plus touchés et sous enrofloxacine décèdent le 30 décembre, le petit mâle avait pourtant repris du poids un temps avant de perdre la veille de son décès... La petite femelle, elle, avait bien du mal à prendre depuis une dizaine de jours (je pèse tous les jours depuis le début des traitements), et le matin de son décès elle allait vraiment mal. Chez les autres, les éternuements sont devenus légions, et les mâles ont du mal à passer le cap de la séparation d'avec maman : leurs prises de poids ralentissent et surtout ils font de + en + de bruit...
  • Visite aujourd'hui (enfin le 03/01) : ils sont effectivement bien plus touchés que les femelles puisque chez certains nous avons des bruits pulmonaires. On passe tout le monde sous double antibiothérapie (enro... + doxy, mais avec les bons cachets cette fois -_- ).
  • Ah et petite précision : maman va très bien, depuis le début de tout ça, le nombre de fois pù elle a éternué doit se compter sur les doigts d'une main, et confirmé par chacun des examens cliniques, elle va très bien.
  • Fun fact : j'ai une autre portée née le 14 décembre, donc c'est folklo à gérer en séparant bien comme il faut tout le monde, se changer, se désinfecter les mains, gérer la socia des deux portées + les traitements et nébus de tout le monde. 

 

Suite à la visite du 03 janvier, avec mise en place d'enrofloxacine + doxycycline, j'ai eu une vraie amélioration rapide les 3 premiers jours : moins d'éternuements et de bruits. Mais ce n'était que factice : est-ce que c'était du au fait d'être de retour chez nous de façon stable ou est-ce qu'il y a eu un vrai effet ? Impossible à dire, mais ensuite de nouveau dégradation.

 

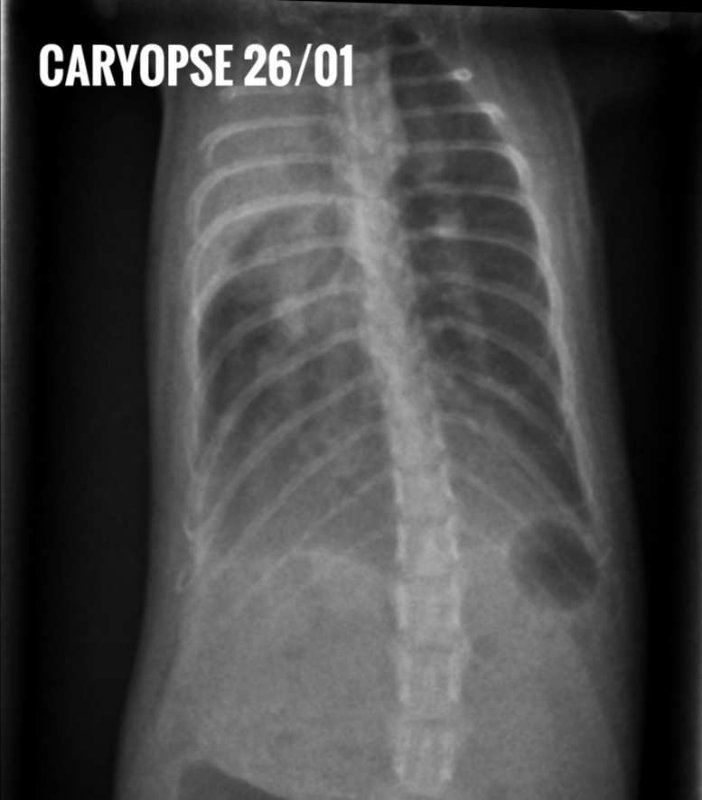
Le 12 janvier : revisite véto. Caryopse est vraiment inquiétant, les mâles de manière générale sont bien plus touchés avec 3 bébés qui présentent des bruits pulmonaires à l'auscultation. On décide de faire une radio pour Caryopse, afin d'avoir un comparatif possible et voir l'évolution. La radio est vraiment moche, je suis atterrée de voir ses poumons comme ça mais bon, on fait ce qu'on peut... On arrête l'enroflox... et on ajoute de l'azythromycine. On fait également un prélévement nasal chez Pyridion qui est celui qui a le nez le plus encombré des garçons. Je sais qu'il y a deux antibiotiques en cours, mais je me dis que s'il y a ne serait-ce qu'une petite change d'identifier clairement ce qu'ils ont, je prends.

Cette fois-ci, j'ai une vraie amélioration, sur plusieurs jours, les éternuements arrêtent réellement. J'ai même une prise de poids sur les bébés qui stagnaient mais (vous le sentiez venir ce mais, avouez !), de nouveau, l'amélioration stagne... Chez les femelles pas de retour des éternuements, mais de nouveau un ralentissement/arrêt de la prise de poids de l'une d'elle notamment. Chez les mâles, j'ai Drupe qui stagne en poids et que je trouve plus creusé/à la respiration de plus en plus forte petit à petit. Les premiers résultats sur Pyridion reviennent négatifs. 

 

Les 23 et 24 janvier, je trouve Drupe vraiment mal le matin. On cale un rdv de dernière minute pour vendredi 26 après-midi (nous avons rdv le 02 février de base, mais on avait dit qu'on se reverrait s'il y avait détérioration entre 2). Jeudi, les seconds résultats pour Pyridion arrivent, positifs à Rodentibacter ratti, anciennement classée comme une pasteurelle si j'ai tout suivi (désolée si je me trompe là dessus). 

Vendredi, j'emmène 4 rats au véto :

-Caryopse, l'ancien plus touché que nous avions radiographié, nous refaisons une radio -> Il y a une amélioration, encore une bonne marge de progrès certes, mais ça va mieux ;

-Drupe, l'actuel plus touché, je vous joins la radio, elle est tellement inquiétante que ça me tue ;

-et deux autres loulous que j'avais emmené "pour comparatif" (Pyridion, qui est loin d'éternuer autant qu'avant, et Nucule en "mâle qui va bien" -fait du bruit mais prend bien du poids et ne fait pas de bruit avec excès -). 

 

Vu les radios de Drupe, on prend la décision de changer d'antibiotique et de passer avec un atb constitué d'amoxicilline et d'acide clavulanique, ainsi qu'un anti-inflammatoire pour essayer de le soulager un peu. Mon véto ne voit que ça à mettre en place qui ait des chances d'être plus efficace que le duo azythro+doxy, mais ce sont des antagonistes, donc on arrête l'ancien traitement pour passer à ça, autant dire qu'on prend un risque, mais en même temps, vu la dégradation sous le mix azythro/doxy, de toutes façons, si on continuait de la même façon, on prendrait aussi un risque. 

 

 

Entre deux, j'essaie de me renseigner sur Rodentibacter ratti, je ne trouve quasi que des infos plus générales sur les Rodentibacter mais ça me fait un peu flipper pour la suite de mes projets ^^' De ce que je lis (et c'est aussi ce que disait mon véto), je risque d'avoir du mal à m'en débarrasser, mais surtout ça se transmet des mères aux petits facilement parce que présent au niveau utérin notamment.  Bref, si certains ont des retours sur ces bactéries, je prends. 

Je me pose évidemment 1 000 questions sur "d'où ça vient" (est-ce que j'ai pu ramener ça par les chiennes ? Et si non, ça me vient d'où bordel ^^' On a eu des souris au collège, est-ce que j'aurai pu ramener ça de là ?!) + "c'est la grosse merde parce que j'ai ma "future reproductrice" actuellement en train de vivre avec mes femelles malades" ^^' + "est-ce que j'ai pas transmis ça au mâle qui a sailli Etoile auquel cas c'est grave la merde pour son éleveuse aussi"... 

 

S'il y en a parmi vous qui ont la moindre info pouvant calmer (ou pas ^^') mes angoisses multiples, je prends XD Avoir des réponses sera toujours mieux que de tourner ça en rond dans ma tête, parce qu'en plus avec l'épuisement, j'ai des capacités plus limitées que normalement, j'ai lu quelques ressources là-dessus en anglais cet aprèm, mais j'ai pas ma capacité idéale pour écumer tout ça, donc même si c'est juste me donner une biblio intéressante, je prends, ça sera mieux que d'essayer de lire en diagonale 500 trucs pour au final ne pas trouver d'informations qui aident. 

 

J'ai mis les radios de Drupe du 26/01, et les deux radios de Caryopse, pour ceux qui seraient curieux. Idem, j'ajoute les courbes de poids, j'ai un suivi au jour le jour, des fois que ça intéresse des gens (si vous voulez que j'enlève les noms de médocs dessus pour plutôt mettre les noms de molécules, je peux, pas de soucis). 

 

420186808_1365989384028148_836076273698454732_n.jpg

420069632_1056417282298965_6622702270409495680_n.jpg

420122794_928606788606417_4079991503713283763_n.jpg

poids petits etoile.png

  • Tristesse 3
Posté

J'ai taggé personne, mais j'aurai pu ^^' Je sais juste pas trop qui XD @Tani @Les Diamants Pando Rats qui sont touchées directement (une puce de Tani a été en contact, et ce sont les mâles de Pando rats qui ont sailli).

@Artefact, @Chnouillette, @socquette vous aurez peut être accès à une bibliographie intéressante/des choses à me conseiller ? 

Posté

C'est vraiment un cochemard depuis le début pour toi franchement.

 

Les garçons vont bien, ils vont sur leur deux ans dans quelques jours.

 

Je vais également surveiller la portée River vali vue que vali avait fait partie du voyage avec les garçons et a saillie après son retour. Les bébés n'ont que 16 jours donc si c'est la même horreur ont devrait bientôt le savoir 🤞

 

J'avais aussi les deux LVM qui faisait partie du voyage Échinococcose et Karma, ils se portent tous les deux à merveille.

Posté

C'est vrai que Karma avait été avec mes femelles >< J'avais pas pensé à ça -_-

Posté

Potentiellement il y a aussi Nailed it ! et Hokusai qui étaient déjà chez Vazaha au tout début du problème, mais ils se portent tous les deux comme des charmes sur leur 21 mois. Visiblement ça semble toucher les jeunes et beaucoup moins les adultes, je m'inquiète pas pour eux. 
Je suis tellement désolée :( 
J'ai essayé de faire autant de recherches que possible, il n'y a pas grand chose mais je partage ce que je trouve: 


De ce que je comprend, Rodentibacter est une bactérie naturellement présente dans l'organisme du rat, et la maladie se propage par contact direct en aérosols. 
https://www.sciencedirect.com/science/article/abs/pii/S0378113517313548

On l'appelle aussi "Taxon 22 de Bisgaard", l'hôte principal est le rat mais il pourrait aussi contaminer des souris et des poulets
https://www.microbiologyresearch.org/content/journal/ijsem/10.1099/ijsem.0.001866

Elle était autrefois appelée Pasteurella pneumotropica. Cet article là dit que Rodentibacter spp. serait incapable de "provoquer une pneumonie chez des souris immunocompétentes". Est-ce qu'il est possible que la bactérie ne soit qu'un symptôme d'un soucis d'immunité sur la portée ? 
https://journals.sagepub.com/doi/full/10.1177/0023677219834324

Cet article là parle de Rodentibacter rarus et dit qu'il faut aussi faire attention aux chiens/chats/oiseaux :
https://www.ajol.info/index.php/ovj/article/view/210383


En cherchant avec "Pasteurella pneumotropica", j'ai trouvé ce PDF là qui a la chance d'être complet et axé sur cette bactérie: 
https://journals.sagepub.com/doi/epdf/10.1258/0023677011911543
Visiblement, aucune contamination n'a pu être constatée via la litière contaminée. La contamination prend 3 semaines après l'exposition à la souris infectée. Il est dit aussi que l'organisme aime l'humidité (les litières de carton et tout ce qui absorbe bien l'eau) et craint le plastique car on peut l'essuyer et le sécher vite donc sa viabilité est limitée (page 35). 

 

  • Merci 3
Posté

Je te renouvelle tout mon soutien, c'est vraiment une terrible épreuve et le cauchemar de tout éleveur.

 

J'ai regardé rapidement la fiche Charles River sur Rodentibacter, il y a eu un renommage en effet (la taxonomie ça bouge tout le temps) et honnêtement, je ne pense pas que ce soit le grand méchant de l'histoire. Comme souvent, on cherche des bactéries (parce que c'est vachement plus facile que de chercher des virus), on en trouve (parce que nos rats ne vivent pas en environnement stérile), généralement un machin relativement inoffensif sauf immunodépression, et on risque de se fourvoyer sur la cause réelle du problème. Et si tu veux mon avis, on est dans ce cas :

 

Citation

Infection of immunocompetent and most immunodeficient animals with Rodentibacter is asymptomatic. Rarely, clinical signs are seen if infected animals are stressed, or, as with any other opportunistic agent, there is a convenient port of entry. (...) In immunosuppressed animals infected with Pneumocystis or other pathogens, Rodentibacter co-infection may lead to suppurative bronchopneumonia. Co-infection with Rodentibacter has been shown to exacerbate respiratory disease in mice with Mycoplasma or Sendai virus infections.

 

L'hypothèse la plus logique à mon avis serait : infection virale + immunodépression favorisée par l'administration malencontreuse de corticoïdes => prolifération et pathogénisation d'une bactérie normalement pas dangereuse qui passait par là. Ce fut Rodentibacter comme ça aurait pu être autre chose. Bon, là, pas de chance tu es dans la mouise et il faut gérer la surinfection bactérienne, mais je ne me focaliserais pas plus que ça sur LA bactérie en question.

 

J'ai pris pas mal de recul sur toutes ces années où on a fait des tonnes d'analyse pour pas grand chose et surinterprété pas mal de publis. Au final, en pratique d'élevage amateur, je pense que la bonne conduite à tenir pour tous ces genres de cas, c'est 4 mois de quarantaine stricte pour tous les rats qui ont été en contact, et les rats qui ont été en contact avec des rats qui ont été en contact, etc. Et basta. Ce qui n'est pas forcément évident, note, quand il y a du brassage de rats dans tous les sens.

 

Il y a une chose par contre qui m'interpelle et je vais sûrement pas me faire des amis en disant ça, mais bon, je ne crains plus grand chose.

 

C'est pas si commun de devoir mettre des ratons sous antibios. Or, je constate que ça vient d'arriver coup sur coup chez toi et chez jessi21 (portée Rose x Bowie), heureusement avec moins de gravité chez elle. J'ai pas tilté tout de suite car je n'avais en fait jamais prêté attention au père de la portée d'Etoile d'arbre. Il y a plein de gens qui font des projets avec des rats DPR en ce moment, c'est très bien et c'est tout-à-fait compréhensible car Pandorats est sympa, dynamique, mobile, et a plein de rats à proposer dans une communauté de vieilles rateries toutes asphyxiées dans les mêmes lignées depuis des années. Or, si jamais les soucis sur les portées d'Etoile et Rose sont liées à un portage viral, il serait vraiment important de le savoir avant de le balader dans la France entière. Il ne serait d'ailleurs pas forcément déconnant que ça "sorte" au moment où les DPR, probablement eux bien habitués à leurs germes "locaux", sortent dans des cercles ratouphiles où ces germes n'avaient jamais été vus avant.

 

Révélation

(Au passage, je pense que c'est exactement ce qui s'est passé avec les américains importés chez nous avec des souches de mycoplasme que nos rats européens n'avaient jamais vu et donc auquel leur système immunitaire n'était pas préparé).

 

J'insiste pour que tout soit bien clair je n'affirme pas que c'est ça, du tout, et je ne dis pas non plus qu'il y a une "faute" quelconque de Pandorats. Juste que c'est possible, que ça serait pas illogique, et que même s'il n'y a que 5% de chances que ce soit le cas, ce serait dommage de passer à côté (et je m'en voudrais de ne pas l'avoir dit).

 

L'avantage c'est que Pandorats a des rats asympto, donc, sur lesquels on pourrait faire des prélèvements non faussés par une prise d'antibio. Dans la limite du faisable je ferais bactério sur écouvillon nasal sur les 2 papas, éventuellement sur écouvillon vaginal sur la femelle la plus pertinente (Karma si j'ai bien compris ?), et surtout idéalement des sérologies virales au moins sur les classiques donc Parvoviridae, Coronaviridae et Sendai. Ce n'est pas simple, et je regrette qu'on n'ait pas (encore ?) mis en place une caisse de solidarité SRFA car ça aurait été pile poil un cas d'intérêt général pour soutenir financièrement les démarches.

 

Le but n'est absolument pas de déclencher une paranoïa, mais comme toujours de mettre les cerveaux en commun et d'appeler à la responsabilité (même si j'ai bien conscience de la porte que j'ouvre, j'espère avoir mis assez de précautions dans mon texte pour que ce soit pris pour ce que c'est : une hypothèse !)

  • J'aime 2
  • Merci 5
Posté

Est-ce qu'il ne serait pas pertinent de "profiter de l'occasion" (si je puis dire) pour l'ouvrir, cette caisse de solidarité ? On peut proposer ça au vote pour la prochaine AG réunion qui n'est pas loin, @douphie, @Loulouteratoune ?
EDIT: je m'exprime mal, je pensais à faire un vote en réunion des actifs (j'ai écris AG parce que je suis une andouille qui ne se relit pas), en regard du cas exceptionnel et urgent. On pourrait aussi envisager ça comme une "première expérience" de la caisse de solidarité en vue de l'ouvrir plus officiellement plus tard. 
Merci @Loulouteratoune, tu as relevé ma bêtise. 

Karma est une LVM et Echinococcus est un LVM-DEL qui ont transité par Vazaha et ont été adoptés par Diamant Pando Rats. 

Ta réflexion @Artefact, recoupe la mienne sur le problème d'immunité. 

  • J'aime 2
Posté
Il y a 1 heure, Senalina a dit :

Est-ce qu'il ne serait pas pertinent de "profiter de l'occasion" (si je puis dire) pour l'ouvrir, cette caisse de solidarité ? On peut proposer ça au vote pour la prochaine AG réunion qui n'est pas loin, @douphie, @Loulouteratoune ?
EDIT: je m'exprime mal, je pensais à faire un vote en réunion des actifs (j'ai écris AG parce que je suis une andouille qui ne se relit pas), en regard du cas exceptionnel et urgent. On pourrait aussi envisager ça comme une "première expérience" de la caisse de solidarité en vue de l'ouvrir plus officiellement plus tard. 
Merci @Loulouteratoune, tu as relevé ma bêtise. 

Karma est une LVM et Echinococcus est un LVM-DEL qui ont transité par Vazaha et ont été adoptés par Diamant Pando Rats. 

Ta réflexion @Artefact, recoupe la mienne sur le problème d'immunité. 


Du coup ça peut tout à fait être "l'occasion" oui !

  • J'aime 1
Posté

Merci @Senalina et @Artefact pour ces apports d'articles, d'informations et d'expériences.

 

Vous pouvez bien entendu compter sur moi pour comprendre et faire les recherches nécessaires, analyse etc même si ça peut être compliquer on le fera tout le monde à envie de comprendre je pense.

 

Je ne pense par contre que la portée Rose Bowie qui est maintenant chez moi même si c'est arrivé +/- a la même période. 

Il y a eu effectivement un petit virus ou quelque chose avec le trajet et tout ça mais que c'est le stress qui en était une source principale si on peut dire, le comportement de rose en disais long sur son état de bien être dans sa tête, je ne parle pas des conditions dans lesquelles elle a été détenu ou comment Jess s'en occupait elle a fait ce qu'il fallait mais la rate n'était vraiment pas bien le démontrait par des signes " d'agressivité " que l'on qualifiait de maman crocodile comme ça peut être le cas chez certaines, son comportement à son retour le jour même qui était méconnaissable puisque c'était denouveau la rate adorable que nous connaissions (vidéos à l'appuie, même avec ma fille qui est loin d'être toujours tendre avec les ratous, elle n'a que 4 ans)

On avait fait un point véto vendredi dernier mais je n'avais pas pensé à parler des cas de @Vazaha puisque l'état des ratons et l'évolution n'était clairement pas la même exemple de leur poids à 19jours, pour le reste faut que j'allume l'ordi.

Stitch 45

Jumba Joobika 49

Pikly 45

Luki 47

Cobra Bubble 43

Capitaine Gantu 45

Lilo 45

Elena 43

Yuki 40

Nami 43

Myrtle 37

Ils sont tous en forme à l'heure d'aujourd'hui et évolue très bien.

 

Je suis par contre interrogative sur toute cette galère avec Vazaha, les gènes d'environnement etc surtout que chez moi ils y a souvent des variations de groupes changement de cages etc avec le nombre de loulous que j'ai.

Jess était aussi par exemple étonné que à la maison j'ouvrais les fenêtres tous les jours (même si il gèle, forcément elle sont ouvertes moins longtemps) je trouve que c'est hyper important d'aérer.

J'ai aussi eu d'autres portées qui sont nées depuis leur retour ormis sur la portée de River ou maman a mangé un bébé je n'ai eu aucunes pertes ou bébé inquiétant ou malade. 

Je me trompes peut être je n'ai pas encore votre expérience mais je pense que dans des cas comme ça les plus touchés devraient être logiquement les plus jeunes et les plus vieux.

 

Pour en revenir à ces mouvements de cages, quand ils sont revenus de chez Vazaha il y avait donc Poker, Joker, Vali, échinococcose et Karma de chez @Senalina

 

Depuis et Echi avait rejoint la troupe de jeunes mâles où il y avait des bébés de la portée Tarzan, NH, Egypte, il a changé de troupe depuis et est allé dans une troupe avec des plus âgés.

Karma elle est clairement avec la moitié de mes femelles elles sont 15 dans la Furet XL.

Vali a saillie River et les bébés sont nés le 11/01.

 

Si vous avez besoin d'autres informations n'hésitez pas à me le demander le but de tout le monde est de comprendre et surtout pour @Vazahad'arriver à sortir de cette galère.

 

J'ai aussi @StenaTiff qui vient plusieurs fois par mois chez moi j'ai aussi @kisa41 qui est venu entre temps à la maison.

 

Est ce que il y a des choses à faire chez moi pour protéger mes loulous au mieux, quel rats faudrait il faire analyser rapidement ? 

 

 

Posté

Je vais lire un peu plus et poser le cerveau après le nettoyage de la royale, mais deux choses :

-effectivement, mon veto a émis beaucoup de précautions sur l'interprétation de ces cultures, en disant bien qu'il ne faudrait pas se focaliser là-dessus ;

-Le soucis actuel c'est la vitesse d'inaction des antibiotiques, onvoit un vrai effet au début puis rechute. Je vous parle pas des poids aujourd'hui, c'est la déprime intégrale ce matin... quasi tout le monde a perdu, je ne sais pas quand je vais me sortir de cet enfer...

-pour l'isolement, la partie compliquée c'est que j'ai 2 portées actuellement 😅 Mais ceux de Siumai n'ont toujours aucun symptômes. Par contre je commence clairement à me dire que je vais pas faire adopter ces petits, pour le moment y'a aucun signe qu'on va se sortir de là... Les femelles vont bien mieux que les mâles mais ont toujours des symptômes.

 

Très honnêtement, quand je vois les dégradations là, après des semaines de traitements, je me demande si on va pas finir par les euthanasier. C'est horrible, mais j'ai l'impression qu'on n'a aucune solution à apporter (et non, clairement, c'est à 1000 lieux de ce que je veux, je passe un temps fou avec chacun d'entre eux pour les medications, j'ai rarement été aussi attachée à des bébés, mais j'ai l'impression qu'on s'en sortira jamais). 

J'hésite à les passer dans des cages 100% plastique en attendant, pour favoriser la gestion de l'environnement, enfin bref, ça fait partie des milliards de remise en question du moment...

  • Tristesse 7
Posté

Ah et question immunodéficience, il est intéressant de noter que les mâles se sont vraiment dégradés suite à la séparation de maman, et que toujours aujourd'hui, ils sont bien plus touchés que les filles (j'en ai 1 qui m'inquiète un peu, mais aucun qui a des bruits pulmonaires par exemple). Donc ça va bien dans le sens de la construction de l'immunité notamment (ils ont été séparés à 5 semaines et 2j de mémoire, j'espérais que les traitements aient eu un impact et me permettraient de séparer plus tard, mais non)

 

[Oui, le nettoyage de la cage est toujours un bon moment pour ressasser]

 

Côté virus, j'en parlerai avec mon veto, mais on a des choses à faire ? ^^' 

Posté

Selon certaines de mes lectures, il faut un contact direct pour qu'il y ait contamination. Les bébés de Siumai sont-ils avec les bébés malades ? 

Peut être est-il aussi envisageable de tester les bébés de Siumai pour vérifier si leur état est compatible avec une adoption ? 

Si les bébés de Siumai ne sont pas touchés, ce sera en tout les cas rassurants et s'ils le sont et qu'ils n'ont pas de symptômes ce sera aussi une information utile à traiter. 

Posté
Il y a 7 heures, Senalina a dit :

En cherchant avec "Pasteurella pneumotropica", j'ai trouvé ce PDF là qui a la chance d'être complet et axé sur cette bactérie: 
https://journals.sagepub.com/doi/epdf/10.1258/0023677011911543
Visiblement, aucune contamination n'a pu être constatée via la litière contaminée. La contamination prend 3 semaines après l'exposition à la souris infectée. Il est dit aussi que l'organisme aime l'humidité (les litières de carton et tout ce qui absorbe bien l'eau) et craint le plastique car on peut l'essuyer et le sécher vite donc sa viabilité est limitée (page 35). 

Effectivement, c'est plutôt rassurant sur le fait que j'ai pas à devenir une grosse stressée sur ça (je nettoie à un cycle classique actuellement, sauf les petites litières que je vide un peu plus fréquemment).

 

@Les Diamants Pando Rats, pour tes petits, si tu as un petit doute, même si à priori ils vont bien mieux, c'est plutôt le suivi du poids qui va être un indicateur que le poids a un moment précis.

Posté
il y a 24 minutes, Senalina a dit :

Selon certaines de mes lectures, il faut un contact direct pour qu'il y ait contamination. Les bébés de Siumai sont-ils avec les bébés malades ? 

Peut être est-il aussi envisageable de tester les bébés de Siumai pour vérifier si leur état est compatible avec une adoption ? 

Si les bébés de Siumai ne sont pas touchés, ce sera en tout les cas rassurants et s'ils le sont et qu'ils n'ont pas de symptômes ce sera aussi une information utile à traiter. 

Alors non, il n'y a aucun contact. Ni direct ni indirect : je me change et je me désinfecte quand je les prends, ils ne sortent pas sur les mêmes lieux. Ils sont dans la même pièce, mais c'est mon salon, ils sont séparés d'environ 7m, et on aére tous les jours (au moins 2 fois). Le plus proche ça a été durant le transport en voiture à Noël, ils étaient séparés au max possible, des bagages entre 2 et les cages étaient toutes couvertes. Idem ensuite pendant les vacances, pas de sorties sur les mêmes lieux, à l'opposé dans les chambres, et bonne aération.

J'essaierai de voir avec mon veto ce qu'on peut faire comme tests. 

Posté

Si quelqu'un est là de bon matin : j'ai un de mes bébé qui est mort, mon homme peut l'emmener au veto ce matin avant son taff, est-ce qu'il vaut mieux le conserver à température ambiante/au frigo pour faire le max de prélèvements (serologiques/bactériens) ?

  • Tristesse 6
Posté

Encore désolée pour les petits. Je sais que tu n'as plus besoin de la réponse, mais si quelqu'un en avait besoin un jour : frigo entre 1 et 5°.

  • Merci 1
Posté

Alors, pour suivi du sujet :

-prélévements pulmonaires réalisés. Analyses histologiques + PCR pour mycoplasma pulmonis + antibiogramme 

-je ne trouve malheureusement pas de labo capable de faire de pcr sur les virus cités plus haut, il y a bien ce labo en Allemagne, merci @Artefact, qui pourrait mais transport sur neige carbonique et là...)

-pas de test sérologique possible post-mortem.

 

J'ai demandé aussi de faire une analyse macroscopique des reins et du foie, savoir un peu s'ils semblent normaux ou si les traitements successifs ont un effet notable. 

 

Entre temps, Baie, ma plus petite, est décédée (mais ce matin, elle allait très mal, j'ai fait le choix de la laisser mourir dans son environnement, avec sa maman, au chaud -tapis chauffant- plutôt que de lui faire un trajet stressant pour qu'elle meurt dans un environnement inconnu chez le vétérinaire... de toutes façons actuellement nous n'avons pas de traitement qui fonctionne vraiment).

  • Tristesse 6
Posté

Bon courage, ça doit pas être facile  tout ça :doubt: 

 

Je peux pas aider pour cette bactérie ni tout ça, on a déjà été confronté à des bactéries chez nous (moi et mes partenaires, pas les mêmes). Parfois même plusieurs, mais rien avec une si grande ampleur. 

 

J'espère que ça va se stabiliser et que ça ira mieux par la suite 

  • J'aime 1
Posté

Pour info de suivi :

-les radios de Caryopse ce vendredi montrent encore une légère amélioration, le côté gauche semble sain, le droit encore touché. Ça correspond au fait qu'il est physiquement mieux ;

-les radios de Drupe sont pires ^^' On arrête donc les antibios sous lesquels on l'avait passé (amoxicilline et acide clavulanique) pour le repasser à la doxy + azythro comme les autres. Les anti-inflammatoires lui font clairement du bien, donc on continue ;

-Pyridion s'étant dégradé, à l'auscultation, il fait penser à Drupe il y a 1 semaine, on fait aussi une radio, qui est "moins pire" en fait, poumons touchés, mais pas autant. Il passe aussi sous anti-inflammatoires pour l'aider un peu.

(je n'ai pas encore récupéré les radios)

 

En attendant les résultats, on ajoute de la tylosine par nebu, pour espérer soutenir un peu les autres antibiotiques.

Les premiers résultats d'autopsie devraient arriver rapidement, donc d'ici là on attend.

  • Tristesse 2
Posté

Ah et accessoirement, entre deux j'ai cherché les sources sur la stabilité de la doxycycline diluée (merci @Arkane) il semblerait qu'on puisse aller jusqu'à 1 semaine sans pertes (on fait 3-4j seulement nous, mais mon veto n'avait pas de données là-dessus, et les pharmacies/labos auxquels il avait demandé non plus). Si ça peut servir :

https://www.ncbi.nlm.nih.gov/pmc/articles/PMC4943619/#:~:text=Doxycycline remained stable in all,untinted bottles with acidified water.

  • J'aime 6
Posté
Le 27/01/2024 à 20:26, Vazaha a dit :

J'ai taggé personne, mais j'aurai pu ^^' Je sais juste pas trop qui XD @Tani @Les Diamants Pando Rats qui sont touchées directement (une puce de Tani a été en contact, et ce sont les mâles de Pando rats qui ont sailli).

@Artefact, @Chnouillette, @socquette vous aurez peut être accès à une bibliographie intéressante/des choses à me conseiller ? 

Désolée je vois seulement ton message... Je suis désolée pour tous tes petits ratons et tout ce qui t'arrive.... c'est tellement triste...

Je rejoins Artefact sur tout ce qui concerne, les bactéries, immunité... surtout qu'une bacterio sur un animal qui est sous antibio est vraiment à prendre avec des pincettes.Je n'ai jamais entendu parler de cette bactérie, mais je vais me renseigner et je te dirai si je trouve autre chose... Bon courage en tout cas.

  • Merci 1
Posté

Alors, on a enfin eu les résultats de la pcr (et j'ai aucun des autres résultats, ça me saoule) : positif pour Mycoplasma pulmonis. Ce qui au final ne répond pas vraiment à mes interrogations. Je ne comprends pas comment on peut avoir eu de telles catastrophes alors qu'ils étaient sous des traitements qui auraient du etre efficaces. Est-ce que les corticoïdes auraient pu avoir un tel effet sur leur système immunitaire ? Est-ce que ça a favorisé l'émergence de rodentibacter ratti qui aurait foutu la merde ? (Oui, j'appelle mon veto dans l'aprem pour lui poser ces questions)

 

Au final, je suis presque frustrée du résultat, j'ai l'impression que mes bébés sont morts "pour rien", c'est assez horrible ^^' 

 

En attendant, j'ai enfin du mieux à la maison, Caryopse joue depuis quelques jours, sur de petites périodes très courtes mais c'est nouveau.  Drupe va franchement mieux, est beaucoup moins creusé, respire mieux et prends du poids. Pyridion prend du poids mais je le trouve toujours très creusé, et les nébus le mettent en difficulté (il a besoin d'un temps de repos après)... J'ai encore des bruits de nez de temps en temps, assez peu, mais par moments ça revient (genre mardi, Akène qui va bien depuis longtemps m'a fait des gros "poutpout" en sortie de nebu, le matin comme le soir ^^'). 

  • Tristesse 3
Posté

J'espère très fort que tes survivants vont s'en sortir et que tu auras enfin des réponses... C'est tellement affreux.

Courage à toi.

  • J'aime 2
  • Merci 1

Rejoindre la conversation

Vous pouvez publier maintenant et vous inscrire plus tard. Si vous avez un compte, connectez-vous maintenant pour publier avec votre compte.

Invité
Répondre à ce sujet…

×   Collé en tant que texte enrichi.   Coller en tant que texte brut à la place

  Seulement 75 émoticônes maximum sont autorisées.

×   Votre lien a été automatiquement intégré.   Afficher plutôt comme un lien

×   Votre contenu précédent a été rétabli.   Vider l’éditeur

×   Vous ne pouvez pas directement coller des images. Envoyez-les depuis votre ordinateur ou insérez-les depuis une URL.

[Projet vidéo] ChatBox

[Projet vidéo] ChatBox

    Vous n'avez pas la permission d'utiliser les salons de discussions.
    ×
    ×
    • Créer...

    Information importante

    En poursuivant votre navigation sur ce site, vous acceptez l’utilisation de cookies permettant d'améliorer votre expérience de navigation et mémoriser vos paramètres utilisateur pendant votre visite. Aucune information contenue dans ces cookies ne permet de vous identifier sans votre permission. SRFA ne transmet aucune information non anonyme à des applications tierces.